インプラント治療の症例
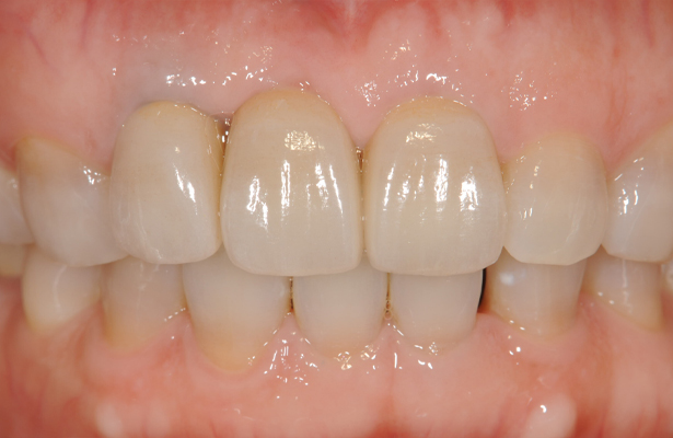
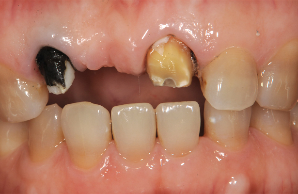
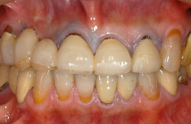
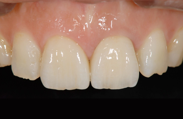
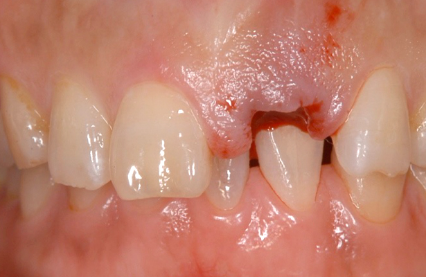
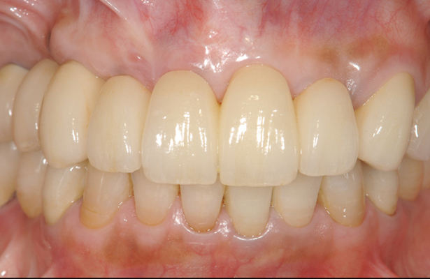
Case01 前歯のインプラント治療
術 前
仮 歯
レントゲン
インプラント
術 後
| 治療内容 | インプラント(1歯) |
|---|---|
| 治療費用 | 275,000円(税込) |
| 治療期間 | 3ヶ月~6ヶ月 |
Case02 奥歯のブリッジ治療
術 前
術 前
術 中
術 中
術 中
術 後
術後17年経過
術後17年経過
| 治療内容 | オールセラミックブリッジ(3歯) |
|---|---|
| 治療費用 | 495,000円(税込) |
| 治療期間 | 2ヶ月~4ヶ月 |
Case03 奥歯のインプラント治療
術 前
術 後
インプラントを2本埋入しています。
| 治療内容 | 左下67番にインプラント治療 |
|---|---|
| 治療費用 | 1,012,000円(税込) 内訳 インプラント体 280,000円 ×2本 インプラントアバットメント 20,000円 ×2本 インプラント上部構造 150,000円 ×2本 仮歯 10,000円 ×2本 |
| 治療期間 | 約4ヶ月 |
Case04 インプラント治療
術 前
術 後
抜いた直後にインプラント治療を行なっています。
| 治療内容 | 左下6番インプラント治療 |
|---|---|
| 治療費用 | 506,000円(税込) 内訳 インプラント体 280,000円 ×1本 インプラントアバットメント 20,000円 ×1本 インプラント上部構造 150,000円 ×1本 仮歯 10,000円 ×1本 ※症例によっては、骨補填材代+50,000円 |
| 治療期間 | 約4ヶ月 |
Case05 インプラント治療
術 前
術 後
※インプラント治療(1本)・レジン充填
| 治療内容 | 左上3番インプラント・右上4番レジン充填 |
|---|---|
| 治療費用 | 561,000円(税込) 内訳 インプラント体 280,000円 ×1本 インプラントアバットメント 20,000円 ×1本 インプラント上部構造 150,000円 ×1本 仮歯 10,000円 ×1本 レジン充填 50,000円 ×1箇所 |
| 治療期間 | 約4ヶ月 |
Case06 インプラント治療
術 前
術 後
※前歯インプラント1本・セラミックス2本
| 治療内容 | 左上1番から 右上2番のブリッジ |
|---|---|
| 治療費用 | 924,000円(税込) 内訳 インプラント体 280,000円 ×1本 インプラント アバットメント 20,000円 ×1本 インプラント 上部構造 150,000円 ×1本 セラミッククラウン 170,000円 ×2本 コア 10,000円 ×2本 仮歯 10,000円 ×3本 |
| 治療期間 | 約3ヶ月 |
Case07 インプラント治療
術 前
術 後
※前歯インプラント1本・ラミネートべニア
| 治療内容 | 右上1番ラミネートベニア・左上1番インプラント |
|---|---|
| 治療費用 | 715,000円(税込) 内訳 インプラント体 280,000円 ×1本 インプラント アバットメント 20,000円 ×1本 インプラント 上部構造 150,000円 ×1本 ラミネートベニア 170,000円 ×1本 仮歯 10,000円 ×1本 ラミネートベニア用仮歯 20,000円 ×1本 |
| 治療期間 | 約4ヶ月 |
Case08 インプラント治療
術 前
術 後
※インプラント9本・セラミックス19本
| 治療内容 | インプラントを9本・セラミック19本 |
|---|---|
| 治療費用 | 8,558,000円 (税込) 内訳 インプラント体 280,000円 ×9本 インプラント アバットメント 20,000円 ×9本 インプラント 上部構造 150,000円 ×9本 セラミッククラウン 170,000円 ×19本 コア 10,000円 ×19本 仮歯 10,000円 ×28本 |
| 治療期間 | 約3年 |
《 備考 》
インプラント1本目の際にCT代として別途5万円いただいております。
術前術中術後と埋入位置確認含め数回CTを撮影することになります。
保険では算定できるタイミングが限られておりますので、当院でその方の1本目のインプラント処置に対して自費のCT代金をいただいております。2本目以降であればCT代金5万円は費用いただいておりません。













